1
/
of
8
DEXIS
DEXassist Solution Subscription
DEXassist Solution Subscription
Regular price
$2,388.00 USD
Regular price
Sale price
$2,388.00 USD
Unit price
/
per
Shipping calculated at checkout.
Couldn't load pickup availability
To purchase, please visit DEXIS.com/ai-diagnostics and someone will contact you.
---
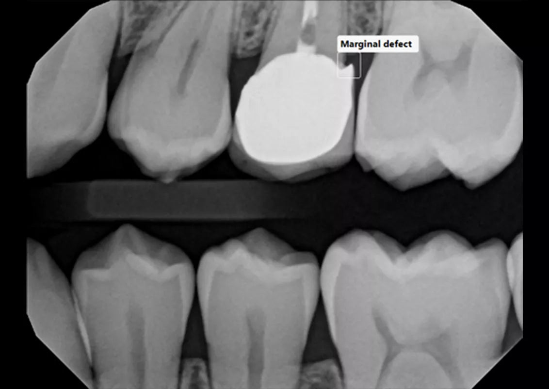
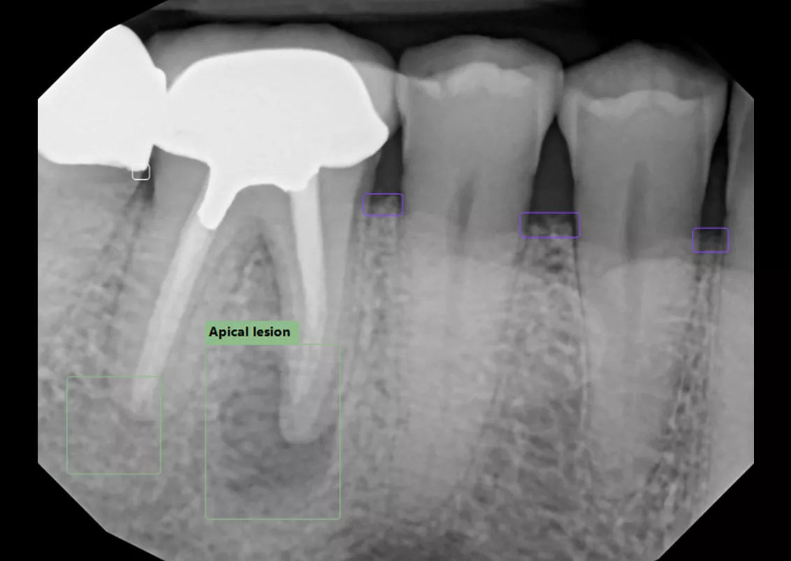
Built into DEXIS™ Imaging Suite Software, the DEXassist Solution provides assisted intelligence with a single click. This new solution enables users to identify up to six dental findings on 2D x-ray images.
The DEXassist Solution integrates AI features from DTX Studio™ Clinic into DEXIS Imaging Suite Software.
To purchase this subscription, you need to own DEXIS Imaging Suite Software.
How to get your DEXIS Imaging Software version?
- Click the DEXIS logo in the upper right-hand corner of your software.
- Select "Preferences", after select "Component Licensing" and copy the data from the "Practice name" and "Telephone number" fields.
DXIS00616
Share






